
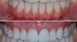
Facetas de Resina
Quer valorizar seu sorriso? Conheça as facetas de resina e o excelente custo-benefício desse tratamento estético. Com mais de 15 anos e centenas de facetas realizadas, o Dr Fabrício Arão vai te ajudar a ter um sorriso top! Todos vão te elogiar e querer saber o que você fez pra ficar tão bem na foto!