
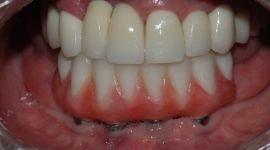
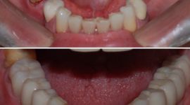
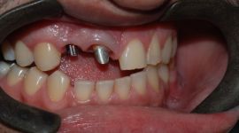
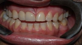
Implantes
Com centenas de implantes instalados ao longo dos últimos 15 anos, o Dr Fabrício Arão vai te ajudar a planejar e executar o tratamento com implantes que você tanto sonha. Implantes bem instalados, com dentes bonitos e funcionais, que vão te devolver conforto para mastigação e sorrisos.