
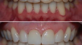
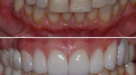
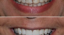
Facetas de Porcelana
Pra você que tem muitas restaurações nos dentes da frente e está insatisfeito com seu sorriso! As Facetas de Porcelana devolvem a beleza dos seus dentes ao mesmo tempo que protegem esses dentes que já têm muitas restaurações para eles não fraturarem. O Dr Fabrício Arão adora as Facetas de Porcelana!