
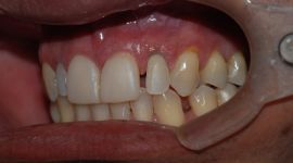
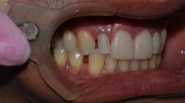
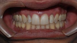
Lentes de Contato Dental
Quer ter o sorriso dos seus sonhos? O Dr Fabrício Arão está pronto pra te ajudar! Tenha um sorriso belo, natural e saudável! As lentes de contato dental, quando bem planejadas e executadas, vão te proporcionar elevada auto estima, melhores relacionamento pessoais e profissionais e muito sucesso!