
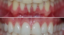
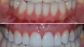
Clareamento Dental
Os Clareamentos são os serviços estéticos de melhor custo-benefício para os clientes. O Dr Fabrício Arão oferece uma estratégia incrível para seus clientes manterem saúde bucal, gengivas saudáveis e dentes e sorrisos sempre brancos, brilhantes e atraentes. Conheça nosso Clareamento Vitalício!