
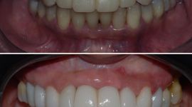
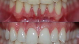
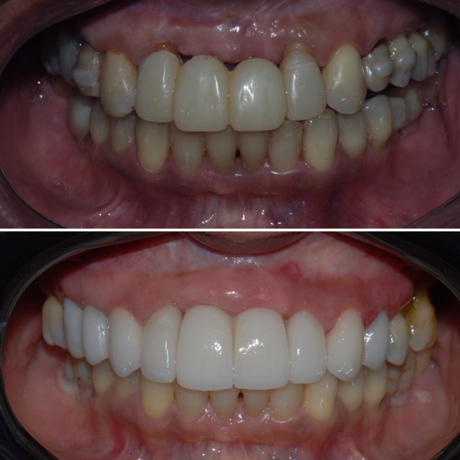
Prevenção
O Dr Fabrício Arão foca atenção na prevenção, recuperação e manutenção da saúde bucal dos seus clientes. Todos os clientes são convidados a pelo menos 01 sessão de limpeza anual. Cada cliente tem sua necessidade específica de retorno para limpeza. Os retornos reforçam o vínculo com os clientes.